CAT   |   CAST
Tel. 937219301
Tel. 696342027
  IMPLANTES Y PROTESIS
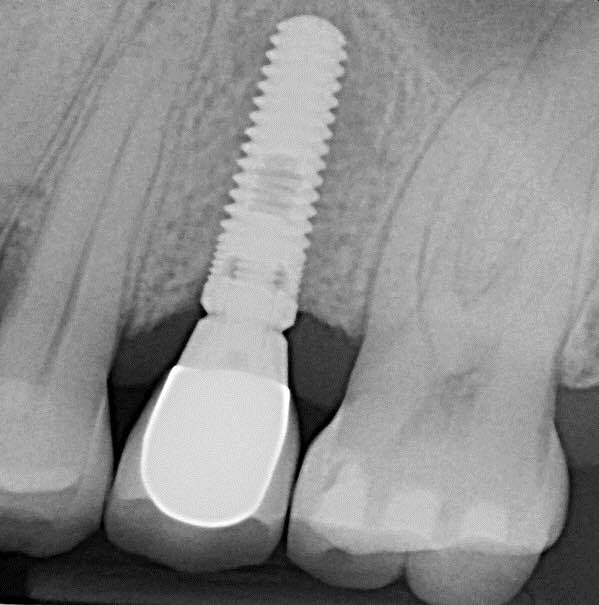
Los implantes dentales son unas raíces artificiales creados para sustituir dientes perdidos, capaces de integrarse, hasta el punto de convivir de forma sana y totalmente natural con los tejidos de la boca. Actualmente están fabricados preferentemente de titanio químicamente puro y actúan como sustitutos de las raíces dentales. Tras su colocación dentro del maxilar o de la mandíbula, sirven para que una vez están oseointegrados, apoyen los nuevos dientes artificiales que van unidos a ellos, ya sea en forma de coronas o de prótesis. Los implantes de carga inmediata es la técnica que permite colocar la prótesis, ya sea unitaria o completa, en un solo día. El uso de implantes dentales de carga inmediata se ha convertido en todo un referente en tratamientos dentales para la recuperación de piezas perdidas, facilitando que recuperes no sólo tu salud bucal, sinó, tu increíble sonrisa!
 
     
 
Los implantes dentales están pensados ​​para durar toda la vida, no obstante en medicina es difícil de decir que algo dura para toda la vida, pueden convertirse en circunstancias indeseadas durante los años, como enfermedades, accidentes, etc... De todas formas si se siguen las recomendaciones y se hacen los controles correspondientes, se detectan los posibles problemas a tiempo para tratarlos.
 
Dades de contacte
 
Adreça:
Av. Països Catalans, 9E, Sant Quirze del Vallès (Barcelona)
Telèfon:
937219301 / 696342027
Email:
info@sarlatdental.com
Instagram:
@sarlatdental
 
SARLAT DENTAL S.L.P. | La clínica dental per a tota la familia a Sant Quirze del Vallès

C.I.F. B-67564641
Centre autoritzat E-08690812
info@sarlatdental.com
Tel. 937219301 / 696342027

AVÃS LEGAL - POLÃTICA DE PRIVACITAT - COOKIES

Web desarrollada por Duma Interactiva